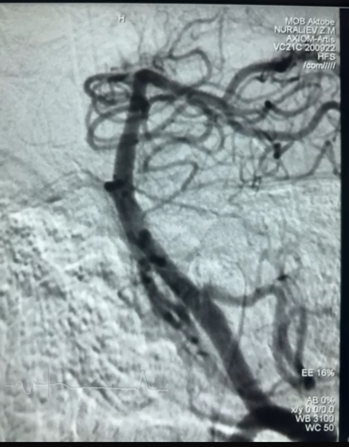
A közelmúltban volt egy sikeres thrombectomiás eset a NeuroSafe Medical Co., Ltd. Dredger Stent Retrieverével. A Dredger Stent Retriever nem invazív lágy hegye nagymértékben csökkenti az intima károsodásának kockázatát, és egyedülálló, speciális alakú lyukkal rendelkezik. olyan kialakítás, amely elsősorban a résváltozások rögzítésével rögzíti a vérrögöket.





